OIC & Eventos

OIC (Osstem Implant Training Center)

OIC es la rama educativa de Osstem, enfocada en la formación profesional de dentistas en implantología a través de cursos, seminarios y congresos para mejorar la práctica clínica.

Presencia internacional

Centros con salas teóricas, simuladores y boxes para práctica clínica.

Programas escalonados

Planificación, cirugía, rehabilitación, tejidos blandos, carga inmediata y flujo digital.

Enfoque práctico

Hands-on en modelos/cabezas fantomas y en algunos cursos, pacientes supervisados.

Certificación

Diplomas OIC y certificaciones internacionales según programa.

Comunidad

Simposios, webinars y foros para compartir casos y mejores prácticas.

OIC imagen 1
OIC imagen 2
OIC imagen 3
OIC imagen 4
Modalidad: Online Presencial Híbrido
Tipo: Webinar Congreso Jornada
Región: RM Norte Sur
Limpiar filtros
Introducción al Sistema Prótesico del Sistema TS
Curso Presencial
Introducción al Sistema Prótesico del Sistema TS
  • Fecha: 01 de Diciembre de 2025
  • Horario: 17:00 hrs.
  • Lugar: UNAB Facultad de Odontología
  • Organiza: UNAB / Hiossen Chile
Dentaduras Digitales: Estrategias de Escaneo y Workflow Completo
Webinar Online
Dentaduras Digitales: Estrategias de Escaneo y Workflow Completo
  • Fecha: 27 de Agosto de 2025
  • Horario: CDMX 5PM | COL 6PM | CHILE 7PM | ARG 8PM
  • Lugar: Live Webinar
  • Organiza: Dr. David Gil, DDS

Galería

Click para ampliar

Videos

Preguntas y Respuestas

P ¿Son los modelos de scaler que disponibles con el sillón K5 (Dmetec, EMS S5 y EMS S5L) aptos para procedimientos de endodoncia.?

Es una pregunta muy importante para aclarar. La respuesta es que ninguno de estos tres modelos: Dmetec, EMS S5 y EMS S5L es adecuado para tratamientos de endodoncia.

Estos dispositivos son scalers ultrasónico diseñados exclusivamente para procedimientos periodontales y de higiene dental. Su uso debe limitarse a la remoción de placa, cálculo (sarro) y biofilm dental.


P ¿Cuál es la diferencia entre modelos?

Dmetec vs. EMS: La diferencia principal radica en el fabricante y algunas especificaciones técnicas, pero su indicación clínica central es la misma: la terapia periodontal.

EMS S5L: Este modelo se distingue por incorporar una luz (función light) en la punta de la pieza de mano, lo que mejora la visibilidad durante el trabajo periodontal. El modelo Dmetec no incluye esta opción.


P ¿Es posible utilizar un Scan Body de otra marca con los Multi Units de Hiossen?

No lo recomendamos. Aunque físicamente pueda parecer que encajan, existe un alto riesgo de que se produzcan micro espacios imperceptibles para el ojo humano entre los componentes.

Estos micro espacios pueden generar una serie de complicaciones que comprometen el resultado final del tratamiento:

  • Imprecisión en la Impresión Digital: El escáner intraoral capta cualquier inconsistencia, lo que se traduce en un modelo digital inexacto. Esta imprecisión se transferirá a la estructura protésica final, afectando el ajuste.
  • Falta de Estanqueidad: Puede permitir la filtración de bacterias y saliva hacia el interior del implante, lo que puede derivar en complicaciones biológicas como periimplantitis.
  • Desgaste y Falla Prematura: La conexión imperfecta puede causar un estrés mecánico anormal, llevando al desgaste o incluso la fractura de los componentes.

Para garantizar la máxima precisión, estanqueidad y éxito a largo plazo de su rehabilitación, recomendamos utilizar exclusivamente los Scan Bodies originales de Hiossen, diseñados específicamente para un ajuste perfecto con nuestro sistema de Multi Units.


P ¿Qué tipo o grado de titanio utilizan los implantes de Hiossen/Osstem y por qué?

Utilizamos diferentes grados de titanio de la más alta calidad, seleccionados estratégicamente para optimizar el rendimiento según el diámetro del implante. Esta decisión de ingeniería garantiza la máxima durabilidad y seguridad.

Sistema TS:

  • Diámetro 3.0: Fabricado en Titanio Grado 5 (Ti-6Al-4V).
  • Diámetros 3.5 a 7.0: Fabricado en Titanio Grado 4 (Ti puro).

Sistema MS:

  Todos los diámetros están fabricados en Titanio Grado 5.

P ¿Por qué se usa el Grado 5, un titanio más duro, en los implantes de diámetro más estrecho (como el 3.0)?

La razón principal es la resistencia mecánica. El Titanio Grado 5 es significativamente más fuerte y resistente a la flexión que el Grado 4. Al utilizar este material más robusto en los implantes de diámetros más finos (como el 3.0), fortalecemos su estructura y disminuimos drásticamente el riesgo de fractura bajo las altas cargas de la fuerza masticatoria, asegurando la confiabilidad del implante incluso en espacios con hueso limitado.

P ¿Y cuál es el material de los pilares y los tornillos de los pilares?

Tanto los pilares como los tornillos de los pilares están fabricados en Titanio Grado 5. La consistencia en el uso de este grado de alta resistencia en todos los componentes protésicos es crucial para garantizar la integridad del conjunto y prevenir fallos mecánicos en la unión que soporta la corona dental.

P ¿Por qué los implantes se llaman Hiossen en Estados Unidos y Latinoamérica, si la empresa original es Osstem? ¿Por qué no usan el nombre Osstem en todas partes?

La razón principal es una estrategia comercial y de estructura corporativa. Osstem Implant es la compañía matriz global, con sede central en Corea del Sur. Para su expansión en el mercado americano, la empresa creó una subsidiaria específica.

P Entonces, si compro Hiossen, ¿estoy comprando productos Osstem?

Exactamente. Sí, son los mismos productos. La tecnología, la investigación y desarrollo (I+D), y los estándares de calidad de fabricación son los de Osstem Implant Corea. Hiossen funciona como el brazo comercial y de distribución para la región, pero el producto final proviene de la misma fuente y tecnología de clase mundial.

P ¿Es necesario usar chinchetas (bone tacks) para fijar y estabilizar estas membranas?

El uso de chinchetas no es estrictamente esencial en todos los casos. Sin embargo, emplearlas para mantener el espacio y estabilizar la membrana y los materiales de injerto es una técnica clínica ampliamente reconocida y recomendada para optimizar los resultados. Si decides utilizarlos, en Osstem contamos con una chincheta específica única para esta función

Código del Producto: OBT3


P ¿Las membranas deben quedar completamente cubiertas por el tejido blando o pueden permanecer expuestas?

Es un principio fundamental lograr un cierre completo de la encía (cierre primario) cuando se utiliza una membrana reabsorbible. La exposición de la membrana al ambiente oral aumenta significativamente el riesgo de contaminación e infección, lo que puede comprometer el éxito del procedimiento. Por lo tanto, se debe buscar siempre la cobertura total con el tejido blando.

P He leído que la hidratación de la membrana no es obligatoria. ¿Podrían confirmar si esto es exacto y en qué escenarios clínicos no sería necesaria?

Efectivamente, la hidratación no es un paso obligatorio para las membranas que comercializamos. Su diseño permite que sea utilizada directamente en estado seco o hidratada, según la preferencia y el criterio clínico del profesional.

No existe un escenario clínico específico que exija usar la membrana exclusivamente seca; la decisión se basa en la comodidad de manejo durante la cirugía. Algunos clínicos prefieren hidratarla ligeramente para hacerla más flexible y adaptable al lecho receptor, mientras que otros la colocan tal como viene del empaque.


P ¿Por qué lado debo colocar la membrana? ¿Hay un lado específico que deba ir en contacto con el hueso o el tejido blando?

Nuestras membranas pueden ser utilizadas por ambas caras. Su diseño es intencionalmente versátil y no tiene un lado "correcto" o "incorrecto". Puedes colocarla con la orientación que te resulte más fácil de manejar y adaptar al sitio quirúrgico, sin preocuparte por cometer un error en la posición.

Casos Clínicos

Evidencia clínica, protocolos y seguimiento.
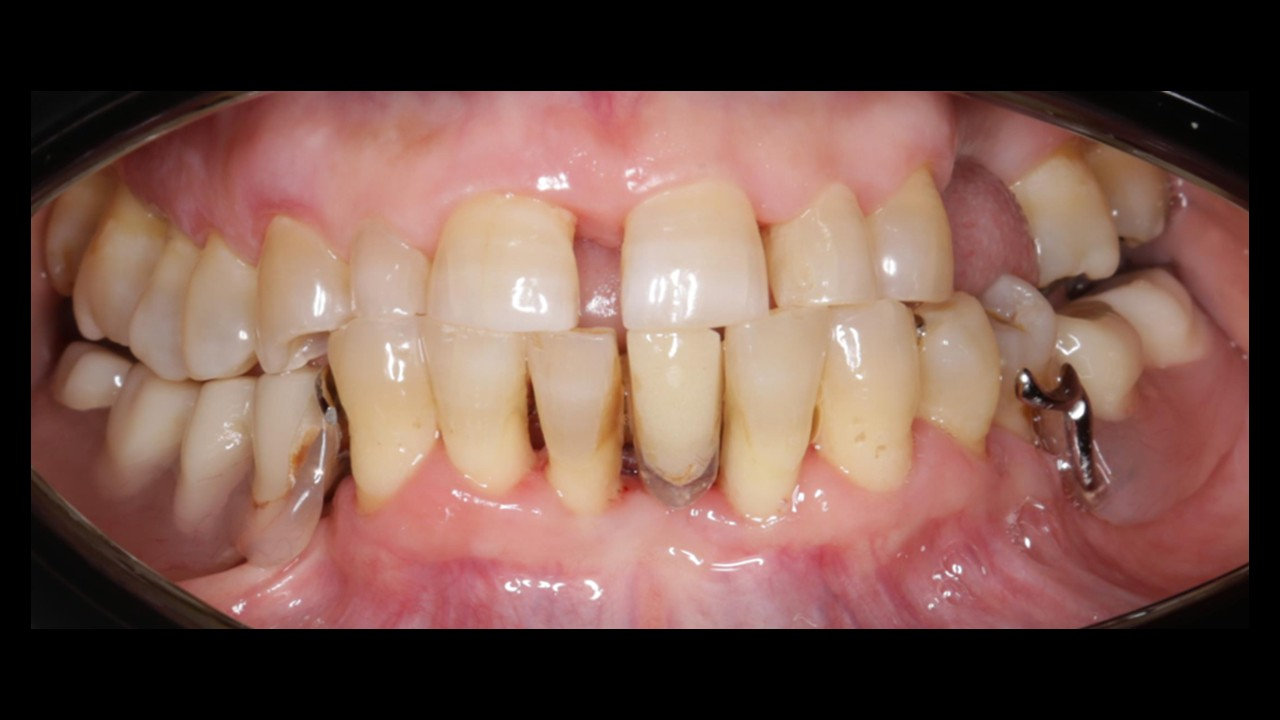
Exodoncia dientes inferiores + IOI (5)
12 de diciembre de 2025 · Dr. Miroslav Andreucic
Exodoncia dientes inferiores + IOI (5)

Caso Clínico Dr. Miroslav AndreucicOdontólogo especializado en periodoncia e implantología, con más de 10 años de experiencia en salud pública y privada.Datos personales paciente:Nombre: I.J.S.Edad: 56 añosGénero: FEMA…

Coating of a Sand-Blasted and Acid-Etched Implant Surface with a pH-Budering Agent after Vacuum-UV Photofunctionalization
30 de octubre de 2020 · Chang-Joo Park, Jae Hyung Lim, Marco Tallarico, Kyung-Gyun Hwang, Hyook Choi, Gyu-Jang Cho, Chang Kim, Il-Seok Jang, Ju-Dong Song, Amy M. Kwon, Sang Ho Jeon and Hyun-Kyung Park
Coating of a Sand-Blasted and Acid-Etched Implant Surface with a pH-Budering Agent after Vacuum-UV Photofunctionalization

Abstract: Ultraviolet (UV) photofunctionalization can reset the biological aging of titanium afterthe preparation and storage of dental implants by transforming hydrophobic titanium surfaces intosuperhydrophilic surface…

Radiologic comparative analysis between saline and plateletrich fibrin filling after hydraulic transcrestal sinus lifting without adjunctive bone graft: A randomized controlled trial
13 de agosto de 2020 · Yong-Seok Cho, Kyung-Gyun Hwang, Sang Ho Jun, Marco Tallarico, Amy M. Kwon, Chang-Joo Park
Radiologic comparative analysis between saline and plateletrich fibrin filling after hydraulic transcrestal sinus lifting without adjunctive bone graft: A randomized controlled trial

AbstractObjectives: To evaluate implant survival rate, any complications, and changes in residualalveolar bone height (RABH) using saline or platelet-rich fibrin (PRF) filling afterhydraulic transcrestal sinus lifting.M…